Британские биоинженеры создали имплант PRIMA, возвращающий зрение пожилым людям
- 22-10-2025, 15:16
- |
- 👤 Artyom
- |
- просмотров: 400
- |
- оценок: 1
- |
- ошибка
- |
- ‹ назад
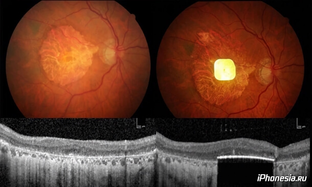
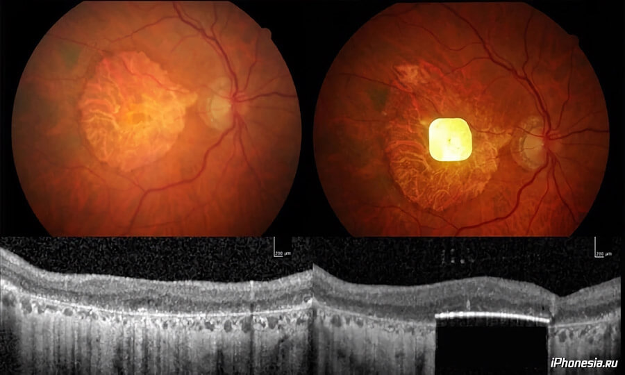
Биоинженеры британского института здоровья глаз Moorfields провели клинические испытания импланта PRIMA, восстанавливающего зрение у пациентов с возрастной дегенерацией сетчатки. Об этом говорится на сайте Университетского колледжа Лондона (UCL).
Имплант PRIMA, разработанный американской корпорацией Science Corporation, представляет собой чип размером 2 на 2 миллиметра, оснащенный большим числом электродов. Он поглощает импульсы ИК-излучения, вырабатываемые специальными очками дополненной реальности, и преобразует их в электрические сигналы, понятные для выживших нервных клеток внутри поврежденной сетчатки. Это позволяет передавать в мозг пациентов изображение с камер, встроенных в очки. Сам чип вводится по центру сетчатки пациента.
В клинических испытаниях приняли участие 38 человек, страдающих от сухой формы возрастной макулярной дегенерации. Согласно результатам проведенных испытаний, 84% пациентов смогли снова различать буквы, цифры и слова.
Присоединяйтесь к iPhonesia в VK, X.com, «Дзене» или через RSS-канал.
| |






